The Long-Term Advantages of Implant Dentistry in Taylorsville
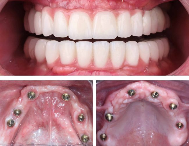
When considering tooth replacement options, implant dentistry in Taylorsville offers unmatched benefits that extend far beyond simple aesthetics. Modern dental implants provide a permanent solution that transforms your smile and your entire quality of life. At Horizon Dental, Dr. Joshua Frandsen helps patients understand why dental implants represent the gold standard in tooth replacement technology.…
